qqdqdqdqdq1

Transformamos sorrisos, devolvemos confiança

Se os seus dentes te impedem de sorrir, falar ou tirar fotos, nós ajudamos a recuperar estética e função com tratamentos pensados para devolver sua autoestima, sem complicação e com acompanhamento atento.

Dentes Estéticamentes mais Bonitos

As facetas dentárias são laminados ultrafinos aplicados sobre os dentes para corrigir cor, forma e pequenas imperfeições, devolvendo harmonia e beleza ao sorriso.
Facetas em Resina Composta: estética tão boa quanto a porcelana, procedimento rápido e acessível, com possibilidade de reparos diretos no consultório.
Facetas em Porcelana: estética natural e sofisticada, maior durabilidade e resistência, com estabilidade de cor por muitos anos.
Ambas oferecem resultados excelentes, e a escolha
depende da necessidade e objetivo de cada paciente.

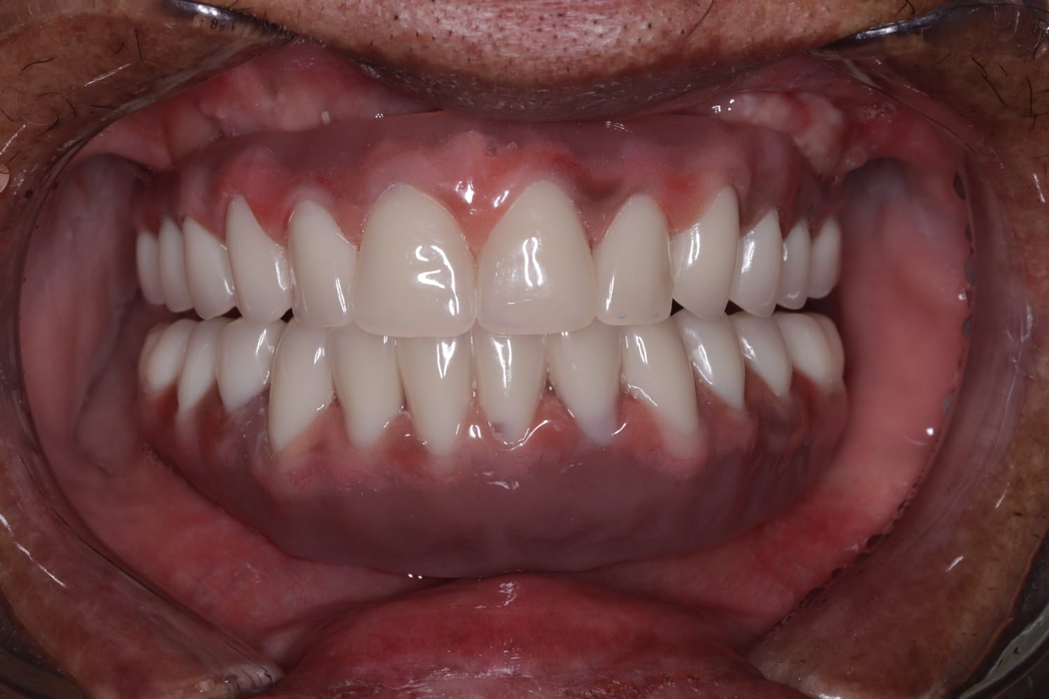
Confira Alguns Resultados

Antes
Depois
Antes
VANTAGENS

Por que escolher nossa clínica?

Excelência em odontologia estética e reabilitadora com resultados naturais que unem estética e função com segurança.
Tratamentos personalizados com foco no paciente com plano claro, prazos realistas e orientação para manutenção dos resultados.
Ambiente acolhedor e profissional com atendimento humano, acompanhamento em todas as etapas e suporte pós-procedimento.

Aparelho Invisalign

O Invisalign é um sistema de alinhadores transparentes que reposiciona os dentes de forma confortável e discreta.
Alinhadores praticamente invisíveis.
Removíveis, facilitando a higiene bucal.
Confortáveis, sem fios ou metais.
Tecnologia digital que permite visualizar o resultado antes do início do tratamento. Ideal para adultos e jovens que buscam praticidade, estética e previsibilidade no tratamento ortodôntico.
Imagem do WhatsApp de 2025-09-17 à(s) 12.20.00_3984e849

Traga o seu sorriso de volta com Implantes

Os implantes dentários são a solução definitiva para recuperar função e estética do sorriso.
Implante Unitário: indicado para substituição de um único dente perdido, preserva a estética, evita desgaste dos dentes vizinhos e oferece aparência natural com alta durabilidade.

Protocolo em Resina Acrílica: boa estética, acessível, indicado para reabilitações com ótimo custo-benefício.

Implante Zigomático: indicado para pacientes com grande perda óssea na maxila, em que os implantes convencionais não seriam viáveis sem enxertos. Esse tipo de implante é fixado diretamente no osso zigomático (maçã do rosto), oferecendo solução segura, estável e rápida para reabilitar o sorriso em casos complexos.

Protocolo em Cerâmica/Zircônia: opção premium, com estética superior e aparência ainda mais próxima dos dentes naturais. Possui alta resistência, estabilidade de cor a longo prazo, maior durabilidade e brilho semelhante ao esmalte dental.

Sinta-se seguro(a) para sorrir novamente. Agende uma avaliação rápida e descubra soluções personalizadas para recuperar a estética, a função e a confiança no seu sorriso.

Você enfrenta algumas dessas dificuldades?

  1. Baixa autoestima e dificuldade para sorrir

  2. Problemas para se alimentar ou saborear alimentos

  3. Desafios no relacionamento social devido a inseguranças

  4. Problemas fonéticos e sistêmicos de saúde

  5. Desafios psicológicos relacionados à sua saúde bucal

Esse é o momento perfeito para você trazer o seu sorriso de volta!

Dr. Saulo Rios

Natural de Salvador (BA), o Dr. Saulo Rios formou-se em Odontologia pela renomada Faculdade de Odontologia de Bauru – USP, em 2017. Especialista em Implantodontia pela São Leopoldo Mandic, construiu uma carreira sólida na área, com ampla experiência em implantes unitários, protocolos complexos e implantes zigomáticos.
Além da implantodontia, dedica-se à odontologia estética e reabilitadora, sempre com o objetivo de oferecer resultados naturais e personalizados. Sua prática é guiada por uma abordagem humanizada, pautada na ética, no cuidado e no compromisso em tratar cada paciente de forma única.
A odontologia é sua verdadeira paixão. Para o Dr. Saulo Rios, mais do que transformar sorrisos, sua missão é devolver confiança, saúde e qualidade de vida a cada pessoa que passa pelo seu atendimento.
Copyright © 2025 Direitos Reservados. Proibido cópia total ou parcial do nosso conteúdo. Desenvolvido por Inhub Digital.